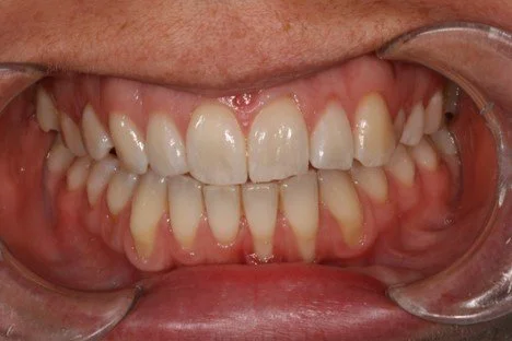
Periodontitis, also known as gum disease, is a common chronic condition that currently affects approximately nine million Australians. It derives from bacteria under the gum that causes inflammation, which leads to destruction of the periodontal ligament and bone holding the tooth.

Untreated periodontitis leads to destruction of the supporting bone around teeth and can eventually lead to the loss of a tooth or several teeth and is the leading cause of tooth loss in people of 40 years of age.

Fortunately , gum disease can be treated and successfully managed, which is why we do our very best to provide you and your teeth with respect, care, protection, and management.

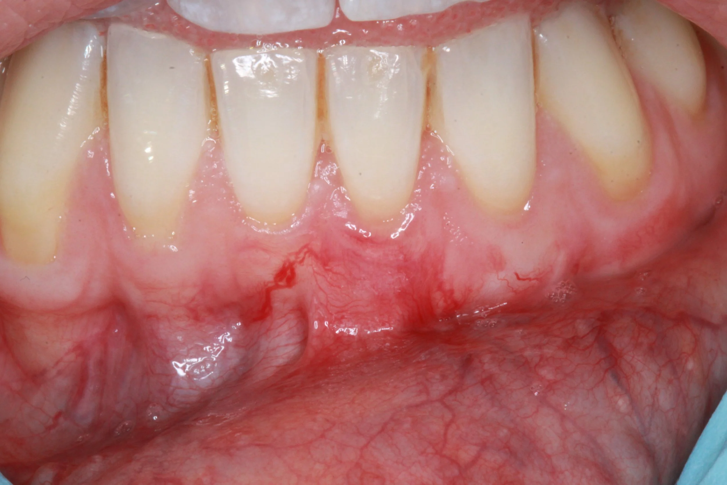
Gum recession occurs when the gum line pulls away from the teeth, exposing the roots and leading to sensitivity, a “long-tooth” appearance, and increased risk of decay. it can develop from factors such as periodontal disease, aggressive brushing, genetics, or teeth grinding.

Periodontists specialise in diagnosing the underlying cause of recession and restoring lost tissue with advanced techniques such as minimally invasive grafting. Early assessment and personalised treatment can protect your teeth, improve comfort, and enhance your smile’s aesthetics.